When it started to go wrong a new Lymphoma site to middle spine

Routine double checking of scans is now common place in the world. As a Stage 4b Lymphoma victim the scans are studied at different universities throughout the world. These checks are conducted by students and interns who form reports etc. As my diagnosis was Stage 4b HLD (Stage 4 being where the cancer had spread from the Lymph node system to vital organs, my case Liver and right Lung, with non vital organs been Throat Neck and right eye) the level of interest from students is very high. Now I will never know who it was or even where in the world this person is but a student spotted something on the PETs and CT Scan that had been missed. This person had taken time to compare my early PET scans to my last one and noted a new site in the middle of my back just behind my spine. Keep in mind that these sites are the size of a pea but they spotted it. The site had never appeared on any test prior to Oct 2016.
My Oncologist called me in to tell me. I was disappointed. He basically placed me back into partial remission pending further investigations. But if this site proved to be new and active then he would be placing me into relapse. The medical council refused any talk about another PET scan for months if ever – so they decided to do multiple CT Scans throughout Nov and Dec 2016. All were inconclusive and the size of the Nodes never changed. And I went through that Christmas not knowing what was happening. I was also battling to try and keep my business but a back stabbing two faced evil bastard that I had unfortunately trusted for over 20 years took my business. I went into January 2017 assisting a liquidator clear up the mess that they made. I lost everything. We live in a rented house and managed to keep hold of that, I was back on the market and instantly approached by a company to do IT consulting work which I accepted. They knew my medical background but wanted and need help. So I went straight into a 6 week consulting role which really was like restarting my career
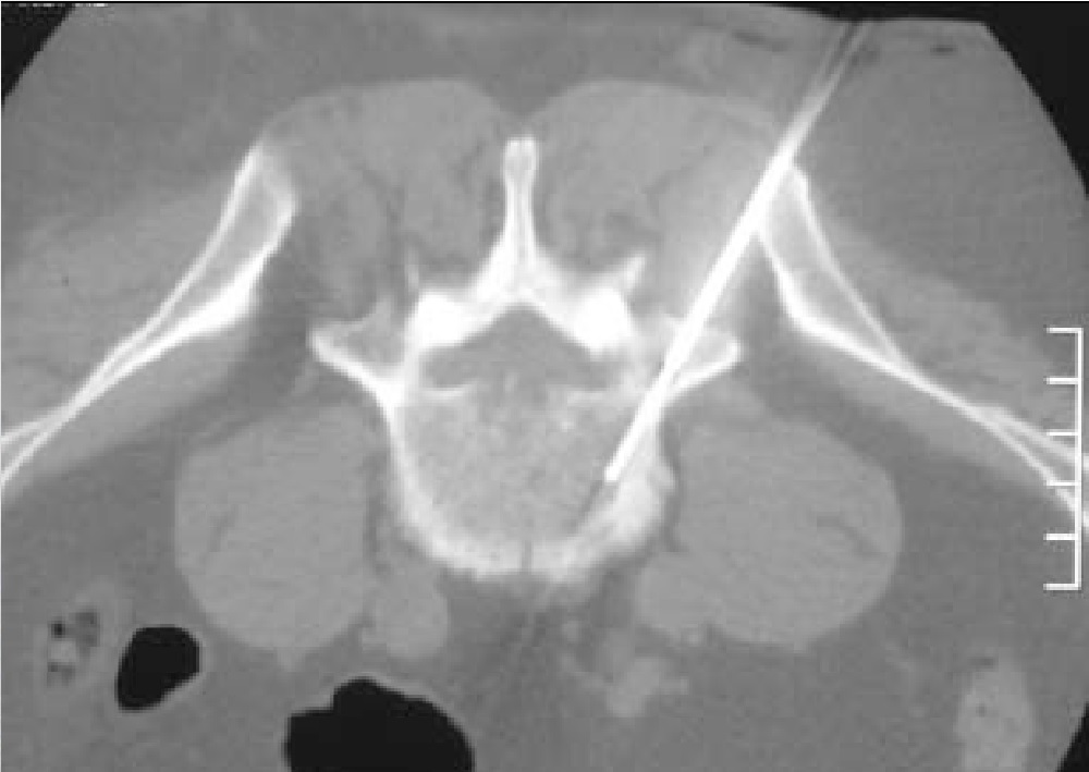
Biopsy to lower spine Lymph Nodes Feb 2017

The hospital called and the date was set for the biopsy. This type of biopsy is nothing like what I had prior. You’re awake for it. It has to be done by a specialist with an Oncologist present. The entry area is within mm of the spin and the least mistake or simple error could result in paralysis. The procedure was performed without anesthetic. I had to stay perfectly still for the entire procedure. It was slightly painful but really more like bad pinches to the back. The radiologist was the same doctor that had preformed the ultrasound back in Feb 2014 when I was first diagnosed. He was extremely cautious. The needles were guided by a CT Scan, so as he placed each needle into position he had to leave the room and watch the CT Scanner. It felt like hours but in reality the entire procedure from start to finish took about 30 minutes . It is preformed in a radiology unit, basically the CT Scanner is used to guide needles into the lymphoma site it is quiet grueling. They managed to get 12 samples.
And off they went for analysis and off I went home. Nearly 3 years to the date of been first diagnosed in 2014. I was concerned and yet again Anita’s birthday had a dark shadow over any celebration
What Next…
Another P.E.T. Scan which raised serious concerns

Linkedin: www.linkedin.com/ian-f-doherty-pc
Facebook: www.facebook.com/hlai.ie
GoFundMe Account: www.gofundme.com/f/59hu6a-cancer-awareness